失った歯を回復させるための機能的、審美的な方法としては大きく分けて3つがあります。
1.インプラント →インプラント単独治療症例とインプラント&義歯併用症例
チタンでできた人工歯根をアゴの骨の中に埋め込み、その上から人工の歯をかぶせます。骨の量の少ない場合や骨の薄い場合には別途追加の手術費用がかかります。また、インプラント手術を受ける方は全額保険がききません。
2.ブリッジ
失った歯の両側の歯を削り、橋のようにして加工した歯をかぶせます。おおむね、1~2本歯を失った場合に適用され、保険のきくケースから天然の歯と同じように白くするものまで幅広く対応できます。
3.入れ歯(義歯)
保険のきく義歯は失った歯の両側にある歯にバネ(クラスプといいます)をかけてもたせるものです。残念ながら義歯と残っている歯は密着していないので非常に不安定で、食事の時に義歯が動き、歯ぐきにあたり、また、バネをかけている歯までグラグラになる危険性があります。
そこで、当院では費用はかかりますが、ドイツで開発され130年以上歴史のある「テレスコープ義歯」を採用しています。バネをかけたりしないので、審美的にもよく、外から見ても義歯だということがわかりません。正しいテレスコープ義歯が製作できる技工士は全国でも少数ですが、当院では経験豊富な専門の技工士としっかりコミュニケーションをとりながら精密に製作しますので、高い精度の義歯が製作できその結果、お口の中でしっかりおさまり、よく咬めます。以前装着された方のなかには「カミソリみたいに良く咬み切れる」と言ってくださった方もいました。
総入れ歯は、元日本歯科大学教授の稲葉繁先生が考案された方法で製作しています。
その最大の特徴はお口の中の状態を立体的に型採りし、寸法変化の少ない精密な方法で製作することです。
その結果ズレの少ない義歯が完成し、精度も高いため装着後の調整も少なくて済みます。
インプラントがいいかブリッジがいいか
インプラントの一番のメリットはブリッジの代替としての治療かもしれません。
失ってしまった一本の歯を考えたとき、前後に隣在する歯を削らず(ブリッジにしない)単独で審美機能回復が図れます。
治療例を下記の通り示します。患者さんは20歳台後半で、診査の結果から歯周疾患にもまだ無縁と思われたため予知性の高いインプラントを植立して審美機能回復を図りました。もちろんブリッジでの機能回復も可能ではありますが、一番奥の歯を削られたくないという本人の強い希望を尊重しての処置となりました。

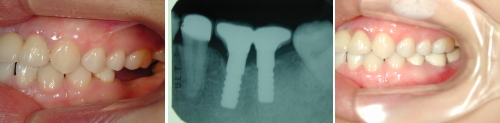
↑奥から2番目3番目がインプラントです
こちらの患者さんは40歳台の方で、上あごの一番奥を失ってしまい噛みにくいので歯を作って欲しいとの希望で来院されました。一本だけの入れ歯は嫌だということでインプラントを提案し処置を行いました。


↑1番奥の歯がインプラントです
インプラントとテレスコープ義歯の併用
インプラント治療のメリットを生かした方法でのドイツ式義歯のテレスコープ義歯とのコラボレーションは大変良い結果をもたらしています。(インプラントにより天然歯の負担を減らす、言い換えると「インプラントは天然歯の添え木」という考えです。)
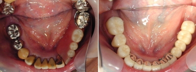
治療例を下記写真に示します。上あごは総入れ歯で下の部分入れ歯は非常に収まりの悪いものでした。左下奥歯の保存が難しいため抜歯をし、残っている歯も古い冠を撤去し土台から再治療させていただきました。歯周病が中等度の進行状況でしたので将来のリスク管理を考え固定式のブリッジではなく取り外しのできる タイプの入れ歯で対応しました。しかし左下奥歯が一本もないのでかみ合わせの力配分を考慮(右側だけの片咀嚼を避けるため)し、左下奥にインプラントを植立 (左側 上から4番目の写真です)し、右側の歯の負担を減らした設計としました。
写真は左側が「治療前」、右側が「治療後」です。



